24時間かんたん予約

  • 繰り返しニキビができる
  • ニキビ、吹き出物の跡がなかなか治らない
  • 毛穴の開きが気になる
  • 目じりの小皺が気になる 
  • 色々お化粧品を試したけれどシミが薄くならない
  • ここをクリックして表示したいテキストを入力してください。
ニキビ-・吹き出物・しみ・くすみの原因
・毛穴に余分な皮脂が詰まり酸化して起こる
・ホルモンバランスの乱れ、
・ストレス、睡眠不足、不規則な生活
・便秘、生理不順、ターンオーバーの乱れ  
など原因はさまざま。
 
このまま放置すると
アクネ菌の増殖や皮脂の蓄積により、ニキビが悪化したり、ニキビ跡が残ったりする可能性があります。
また、シミ・色素沈着・くすみとなる場合もあります。
 

お肌のお悩みは当店(トレゾア)の
ハーブトリートメントで解消

従来のハーブピーリング】
棘状の成分をお肌からこすり入れ浸透させ、角質を剥離し再生します。
また酸などで角質を溶かして、その上からハーブを入れ込むお手入れが主流です。
そのため、日本人の肌には負担が大きく

  • 赤みがでる
  • 痛みがある
  • 剥離する
  • ダウンタイム中はメイクNG
  • 過度な剥離で肌老化を早める場合もある

などのリスクを伴います。
【当店のメディカルハーブトリートメント】
化学薬品や研磨剤を一切使用しない厳選した国産ハーブのみを使用し、日本人の肌に特化したトリートメントです。

  • 剥離無し
  • 赤み無し
  • 痛み無し
  • ダウンタイム無し

従来のハーブトリートメントのデメリットを改善して肌負担を与えず植物成分が穏やかに作用します。
1回の効果ではなく持続的で根本的な改善ができます。

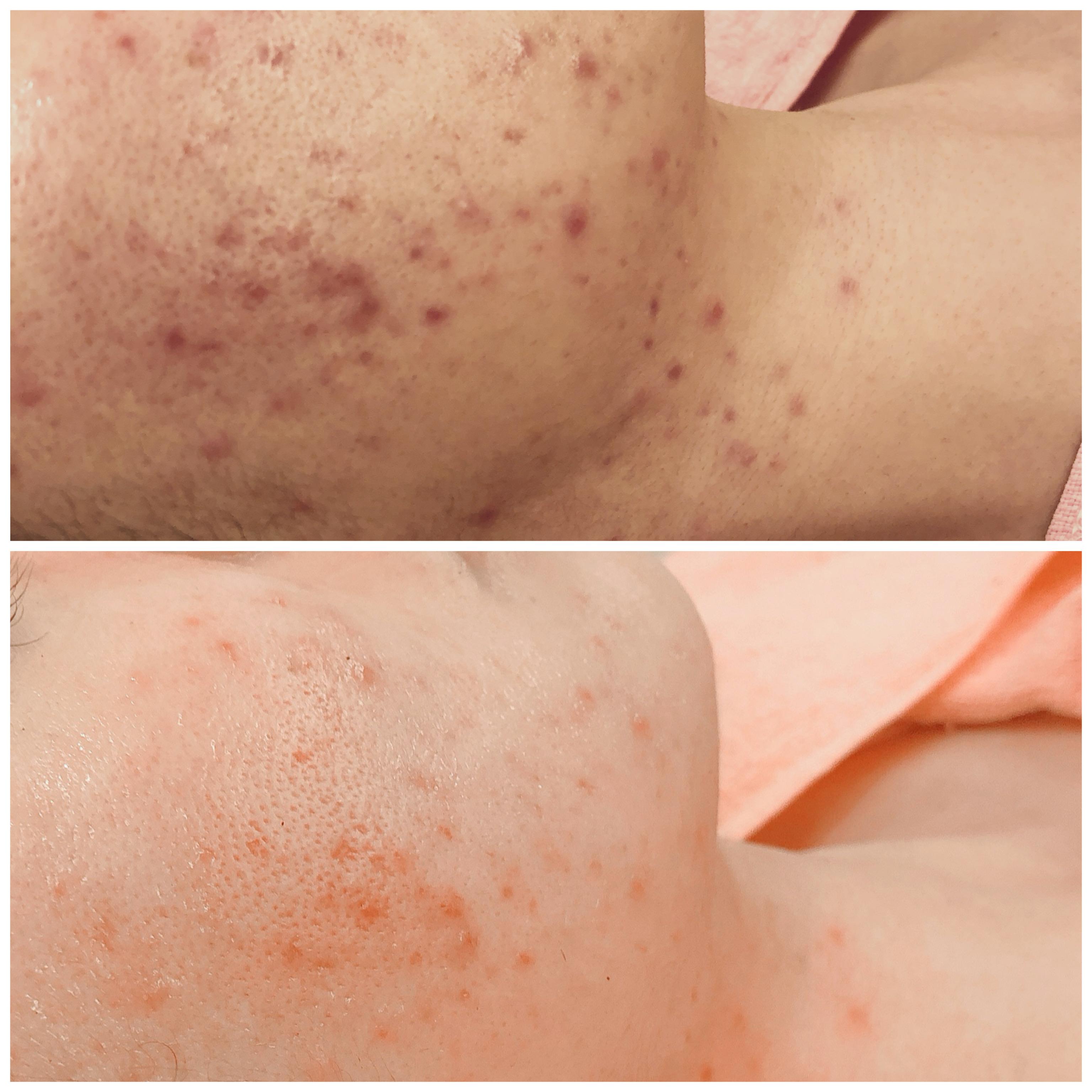
Before After

当店の施術を受けるとこんな変化が

  • 繰り返出ていたニキビが出にくくなった
  • ニキビ跡が目立ちにくくなってきた
  • 毛穴の広がりが改善してきた
  • 周りから肌を褒められるようになった
  • 小皺が減ってきた。
  • シミやくすみがなくなってきた
  • ここをクリックして表示したいテキストを入力してください。

しかしながらお肌の問題点を解決する施術には
こんな問題点があります

美容クリニックで薬剤でピーリング

  • 結局費用が高額になる
  • 薬剤の刺激で施術中ピリピリとした痛みを感じる
  • 一時的にニキビや毛穴が悪化する場合もある
  • 過度に角質を落としすぎて肌を傷つけてしまう可能性がある
  • ここをクリックして表示したいテキストを入力してください。

一般的なハーブピーリング

  • 施術に強い痛みを伴う
  • 施術後赤みが出る
  • 施術後、腫れが出る場合がある
  • 剥離する(皮がむける)
  • 角質層のとりすぎで、ビニール肌や不自然な肌質になる可能性がある
  • ここをクリックして表示したいテキストを入力してください。

当店はそれらの問題の
全てをクリアします

そのお悩み
TRESORで解決できます

当店のハーブエステが選ばれる理由

日本人のお肌に合わせたハーブ使用 
1
日本人の肌に合う、厳選した純国産ハーブを純度100パーセントで使用。
剥離しないハーブピーリング
2
当店では極限まで細かく粒子状にしたハーブパウダーを使用する、剥離(皮むけ)しないハーブトリートメント。
粒子状のハーブが毛穴に入り、菌や炎症を抑えると同時にターンオーバーを活性化します。
ダウンタイムがない
3

【従来のハーブピーリング】
肌に棘上のハーブを刷り込むことによって、ピーリングし、表皮を剥離させターンオーバーを促す施術です。

トリートメント中の強い痛みと赤み、トリートメント後剥離があり、数日間のダウンタイムが必要です。

【当サロンのハーブエステ】
従来のハーブのデメリットをすべて解消

極限まで細かく粒子状にしたハーブパウダーをお肌へ導入する、剥離しないハーブトリートメント。
粒子状のハーブが毛穴に入り、菌や炎症を抑えると同時にターンオーバーを活性化し、根本的な肌質改善に繋がります。

  • 赤み無し
  • 剥離なし
  • 痛みなし
  • ダウンタイム無し

 肌が敏感な方でも受けられる施術です!

施術後すぐにお肌の弾力やリフトアップ効果を感じていただけます。

幅広いお肌の悩みが改善される
4

 当サロンでは、医療レベルの純国産ハーブパウダーを使用することで、肌のバランスを整え肌質の根本的な改善を目指します。

【ニキビ・炎症肌】
・抗酸化作用
・抗炎症作用
・抗菌作用
を持つハーブを配合。
ニキビの状態を落ち着かせ、ある程度、その部分を腫れや痛みから解消することが期待できます。

【シミ・色素沈着・くすみ】
・ターンオーバー促進
・新陳代謝促進
・色素沈着抑制作用
・抗酸化作用老化防止
などの有効成分を持つハーブを配合。
ターンオーバーを促し、シミ・色素沈着の排出といった効果が期待できます。


【乾燥肌・たるみ】
・保湿成分
・セラミド生成
・皮膚弾力改善
・抗老化作用
・角質水分量増加
などの有効成分を持つハーブを配合。
セラミドといった脂質を肌細胞から生成させて乾燥・肌荒れしづらい強いお肌を作っていきます。
また、角質
への水分を増加させることによって、ハリ・ツヤ・弾力のあるお肌へと導くことが可能です。

アフターサポートが充実
5

綺麗は毎日の積み重ねで作られます。

お客様がご負担なく通っていただけるように、1回ごとの都度払いや、月額コースなどをご準備しています。

24時間かんたん予約!

施術の流れ

1.【カウンセリング】
・ニキビが繰り返しでる
・ニキビ跡が黒く残っている
・小じわが増えた
・ほうれい線が気になる
・肌のくすみが気になる
 
など、気になるお悩みをお伺いし、根本的な改善を目指すケアをご提案します。
2.【Wクレンジング】
クレンジングクリームでお化粧を落とした後は、弾力のあるフワッフワの泡で丁寧に洗顔します。
4.【ローションで下準備】
ハーブ施術の効果をさらに高めるために作られた、特別なローションでふき取ります。
ハーブをお肌の奥まで届ける準備を整います。
5.【ハーブ】塗布
お肌の奥まで届けるものだから、化学薬品や研磨剤を一切使用しない厳選した国産ハーブのみを使用した日本人の肌に特化したハーブを使用。
 
従来のハーブトリートメントのデメリットをすべて解消しし肌負担を与えず植物成分が穏やかに作用します。
6.【パック】
たっぷりハーブを入れ込んだお肌を鎮静パックで休めます。
 
照射直後は美容液の浸透性が高くなるので、パック中に美容成分がお肌の奥深くまでしっかりと浸透し、さまざまな肌トラブルの解消に働きかけます。
7.【デコルテ・首・肩マッサージ】
パック中は、デコルテ・首・肩の心地よいマッサージで血流やリンパの流れがよくなり、ハーブの効果をさらに高めます。
8.【ヘッドマッサージ】
パック中は、ツボと経絡の流れに沿ってヘッドマッサージ。
気持ちよいヘッドマッサージでお顔がキュッと引きあがります。
9.【お仕上げ】
お肌に残ったハーブをローションでふき取ると、ハーブの有効成分がいきわたってのようなツルスベの陶器肌に。
更に、高濃度プラセンタ配合のローションとクリームを追加して潤いを閉じ込めます。
10.【アフターカウンセリング】
アフターティーで施術後の余韻をお楽しみ頂きながら、経験豊富なスタッフがホームケアアドバイスをさせて頂きます。
10.【退店】
ご興味のある方のみ次回のご案内 。
お客様を困らせてしまう無理な営業はございません。

お客様の声

50代会社員 M様 ★★★★★

今回はハーブエステを受けました。デコルテのマッサージが特に気持ち良かったです。以前は吹き出物や毛穴に悩んでましたが、フェイシャルを続けたお陰で随分キレイになりました。いつも私に合うメニューを提案していただき本当に感謝しています。次回も楽しみです。

30代会社員 なな様 ★★★★★

メディカルハーブピーリングを体験しました。剥きたての卵のようにツルッとした肌になり驚きました。
マッサージもとても気持ちよく癒されました。ありがとうございました。

30代会社員 nN様 ★★★★★

初めてフェイシャルを受けました。
ハーブピーリング🌿とっても気持ちよかったです。
最後まで寝ないつもりが、寝てしまっていました。
お肌もツヤツヤつるつるで毛穴も綺麗になって気分上がります✨✨

03

小見出し

ここをクリックして表示したいテキストを入力してください。テキストは「右寄せ」「中央寄せ」「左寄せ」といった整列方向、「太字」「斜体」「下線」「取り消し線」、「文字サイズ」「文字色」「文字の背景色」など細かく編集することができます。
サンプル 太郎

20代会社員 AS様 ★★★★★

ハーブの施術が気になり受けてきました。
とてもツヤなでて、毛穴も引き締まり顔がツルッツルになってすごくテンションが上がりました。
定期的にやってもらいたいと思えるくらいの仕上がりでとても満足です✨

50代会社員 景山様 ★★★★★

初めてハーブエステを体験してみました。
気持ち良いのはもちろんですが顔のリフトアップが凄くてビックリしました!
又是非体験したいと思いました。

60代主婦 MIE様 ★★★★★

メディカルハーブエステを受けてみました。
ざらざらした感じか心地よかったです💕
ハーブの香りにも癒されました。終わったあと肌の色が明るくなりましたリフトアップされてスッキリしました。
めっちゃもちもち肌になりました💖
受けてみてすごく良かったです
また受けたいと思います。
ありがとうございました😊

03

小見出し

ここをクリックして表示したいテキストを入力してください。テキストは「右寄せ」「中央寄せ」「左寄せ」といった整列方向、「太字」「斜体」「下線」「取り消し線」、「文字サイズ」「文字色」「文字の背景色」など細かく編集することができます。
サンプル 太郎

店舗紹介

一階ではフェイシャルエステや脱毛メニューが受けられます。

フロア丸ごとお一人様貸し切り!
二つのベッドは施術に合わせて使い分け、一番リラックスできる体勢でエステの時間をお過ごしいただけます。

2階では脱毛・痩身メニュー・歯科ホワイトニングが受けられます。

日本エステティック協会の有資格スタッフが施術を担当させて頂きます。
STEP 3
小見出し
ここをクリックして表示したいテキストを入力してください。テキストは「右寄せ」「中央寄せ」「左寄せ」といった整列方向、「太字」「斜体」「下線」「取り消し線」、「文字サイズ」「文字色」「文字の背景色」など細かく編集することができます。

よくあるご質問

  • Q
    剥離しなくても効果はありますか?
    A

    はい、剥離をしなくてもハーブが吸収され、肌に効果があります。

  • Q
    何回くらいすれば効果が分かりますか?
    A

    初回から効果を実感される方がほとんどですが、3ヶ月かけてしっかり肌質改善を行うのが理想です。

  • Q
    どのくらいのペースで受けたらいいですか?
    A

    1~3回までは、3~7日おき、4~5回目は1~2週間おきをお勧めします。
    その後は月に一回継続して施術することをお勧めしております。

  • Q
    ダウンタイムはありますか?
    A

    ダウンタイムはありません。
    施術後すぐにお化粧ができます。

  • Q
    ニキビ肌でも施術できますか?
    A

    ハーブエステはニキビ肌の方にとても適しています。膿が溜まっている赤いニキビなどは、塗布のみでもハーブの成分で鎮静効果が期待できます。

  • Q
    痛くないのですか?
    A

    ほとんどのお客様が施術中は眠ってしまう程ですのでご安心ください。

  • Q
    シミ取りやレーザー後にハーブピーリングは可能ですか?
    A
    シミ取りやレーザーの種類にもよりますが、ダウンタイムの無いものであれば1ヵ月経過していれば問題なく受けられます。
  • Q
    お化粧したままで大丈夫ですか?
    A
    素肌の状態での施術になります。
    Wクレンジングでお肌を綺麗にしてからの施術になりますのでお化粧してご来店頂いても問題ありません。
  • Q
    ここをクリックして表示したいテキストを入力してください。
    A
    ここをクリックして表示したいテキストを入力してください。

アクセス

店舗名 エステティックサロンTRESOR-トレゾア-
TEL
営業時間
09:30〜20:00
定休日
水曜日
所在地
〒799-0413
愛媛県四国中央市中曽根町5069-3
最寄駅
・JR伊予三島駅より、徒歩15分
・四国中央市消防本部交差点を南へ2分
見出し ここをクリックして表示したいテキストを入力してください。テキストは「右寄せ」「中央寄せ」「左寄せ」といった整列方向、「太字」「斜体」「下線」「取り消し線」、「文字サイズ」「文字色」「文字の背景色」など細かく編集することができます。テキストテキストテキストテキストテキストテキストテキストテキストテキスト...。テキストテキストテキストテキストテキストテキストテキストテキストテキスト...。テキストテキストテキストテキストテキストテキストテキストテキストテキスト...。

24時間かんたん予約!